常染色体と性染色体
常染色体
性染色体の中で、
雌雄に関係なく共通に対になっている普通の染色体を常染色体といいます。
性染色体
性によって構成がことなる染色体のことを性染色体といいます。
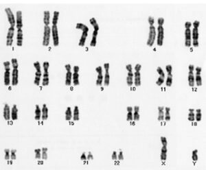
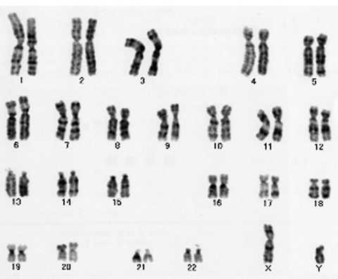
ヒトの染色体
ヒトでは、22対の常染色体と、1組の性染色体をもちます。
女性は44本の常染色体に加えてXの性染色体が2本、
男性では44本の常染色体に加えて、XとYの性染色体をもちます。
したがって、
ヒトの卵は22本の常染色体+X性染色体、
精子は22本の常染色体と
X性染色体あるいはY性染色体という
染色体をもつことになる。
性染色体による性決定様式
性染色体をもつ生物では、性染色体によって性別が決定します。
性染色体によって、性が決定するための組み合わせは次の4つあります。
なぜ4つの性決定様式か?
4つという数字は性染色体が2種類あるタイプと1種類しか無いタイプがあります。
それから雄が同じ性染色体が2つのタイプか雌が同じ性染色体が2つのタイプかが存在しています。ですから2×2で4種類あります。
雄ヘテロ型(雄ヘテロ接合体)
上記の中で、性染色体の組み合わせの中で、雄に同じ性染色体がこない組み合わせ。すなわちホモ接合(同じもの同士)ではなく、ヘテロ接合(ちがうもの同士)であるものを雄ヘテロ型といいます。
雄ヘテロ接合体の中で、雌雄に共通する染色体をX染色体といい、
雄のみがもつ性染色体をY染色体といいます。
雄の性染色体がXYの場合はXY型、
雄の性染色体がX一本の場合はXO型といいます。
雌ヘテロ型(雌ヘテロ接合体)
雌に同じ性染色体がこない組み合わせの性決定様式を
雌ヘテロ型(雌ヘテロ接合体)といいます。
その場合は、雌雄に共通する性染色体をZ染色体、
雌のみがもつものをW染色体といいます。
雌の性染色体がZWの場合はZW型、
雌の性染色体がZ一本の場合は、ZO型といいます。



コメント